请输入关键字
赤峰市医院CT室微创介入团队成功实施CT引导下胰腺穿刺活检术
2022-05-24

近日,赤峰市医院CT室微创介入团队成功为一名胰体占位患者实施了CT引导下胰腺穿刺活检术,经病理检查确诊为胰腺癌。在肿瘤诊治方面取得的一大突破。


图片

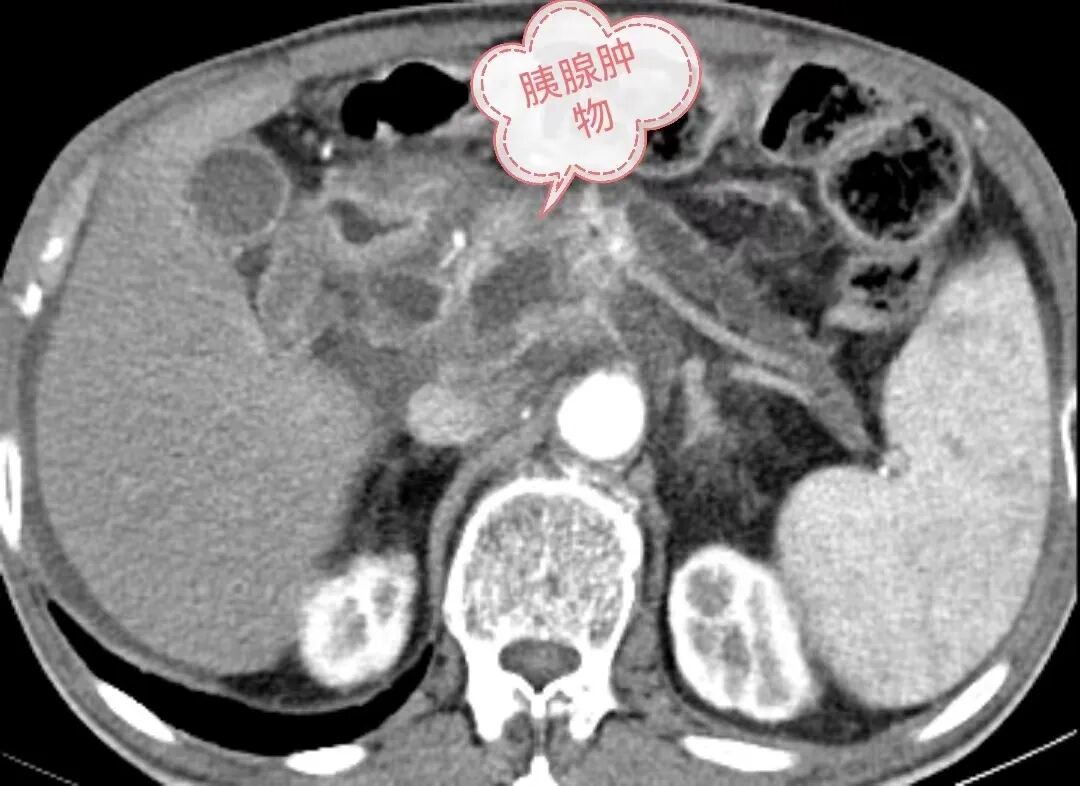
患者,男性81岁,上腹痛半年,当地医院检查发现胰腺占位性病变,遂转入赤峰市医院进行治疗。入院后经CT和磁共振成像检查,但胰腺病变仍未明确,须行穿刺活检术进一步确诊。“穿刺活检术一般有CT、 超声、MRI、X光透视引导,而胰腺周围有胃肠道遮挡,超声引导受肠气及距离的影响,有一定局限性。”赤峰市医院CT室主任丁国成介绍,MRI引导价格昂贵,DSA引导因其密度、空间分辨力低,对胰腺穿刺更是禁忌,CT机以其高度的密度分辨力,强大的后处理功能,成为穿刺活检术重要的引导手段。

胰腺肿块穿刺活检是胰腺肿瘤诊断的金标准,然而胰腺解剖位置复杂,穿刺中要避开神经、血管和周围脏器组织,穿刺风险大,极易因操作不当、术前准备不充分等原因出现肠穿孔、胰瘘、腹膜炎等严重并发症,故该项检查是一项高、精、尖的检查技术。为明确诊断,微创介入团队反复研究穿刺方案及其可行性,最终认为本病例有一定的操作空间。在征求患者同意后,决定为其实施胰腺穿刺活检术。

“胰腺位于人体腹部的中心,前有胃肠道覆盖,后有脊柱和肾脏阻挡,左有脾脏环绕,右有肝脏拦截,所以胰腺病变的穿刺活检极易损伤以上器官。另外,胰腺为人体中较大的腺体,血供极其丰富,胰腺头部有胰十二指肠动脉前、后弓环绕,胰腺体部和尾部有胰背动脉、胰大动脉呈梳状分支供血,这些血管纵横交错、相互交通成网,即使穿刺针到达胰腺附近,也很难避开这些血管。”丁国成解释说,该病例虽然肿块不大,但已侵及门静脉,引起静脉淤血,侧支循环形成,大量平时不开放的血管迂曲扩张,给本来就有难度的手术陡然增加了一定的困难。局麻后,在CT精确引导下,微创介入团队将套管针经皮穿刺,经多次方向调整,成功到达胰体肿块边缘,穿入活检针后精准取样,为患者顺利完成了这台高难度的穿刺活检术。

患者术中及术后无其他不适,安返病房。样本经病理科固定、切片、染色与显微镜观察,最终,确诊患者为胰腺癌,为其进一步确定治疗方案提供了充分的依据。此次穿刺活检术是赤峰市医院CT室微创介入团队完成的一例高难度胰腺占位性病变穿刺活检术,填补了赤峰市该项技术的空白,标志着赤峰市胰腺诊疗技术越来越规范,越来越精准。

据悉,到目前为止,该团队己完成5例胰腺癌的穿刺活检。近三年,赤峰市医院CT室微创介入诊疗团队每年完成CT介入手术700余台,手术涵盖CT引导经皮脑脓肿、胸部介入、腹盆部介入、肌骨介入等多个领域。

✦ 供稿丨CT室
      ✦ 编辑丨李  丹
✦ 审核 | 邓新颖

连  坤